Санкт-Петербург 24.03.2025 - 13:44
В Санкт-Петербурге доступна бесплатная флюорография
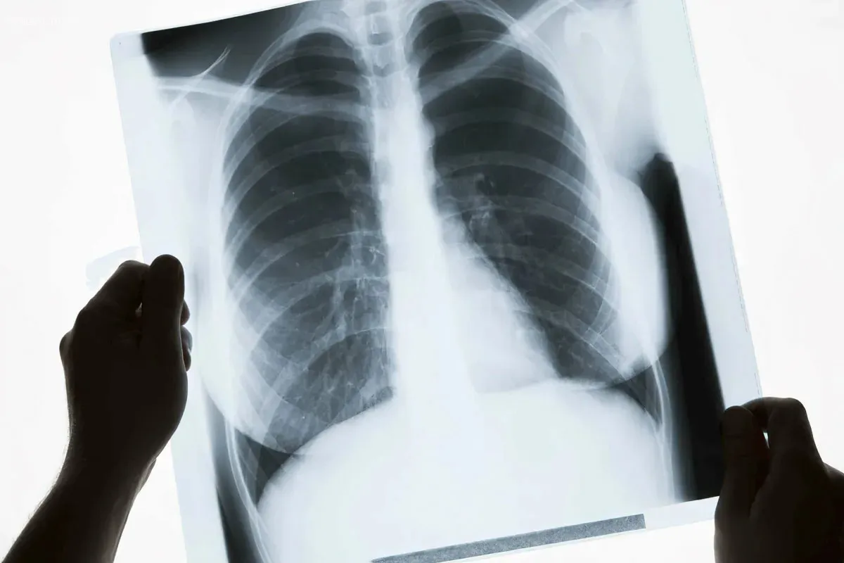
24 марта в Санкт-Петербурге, в честь Всемирного дня борьбы с туберкулезом, начал функционировать мобильный кабинет флюорографии. Любой гражданин России, которому исполнилось 18 лет, может пройти обследование и получить консультацию специалиста, предъявив паспорт.
Передвижной флюорограф будет работать с понедельника по пятницу с 11:00 до 14:00 по следующим адресам: 24 марта – Малая Садовая улица, дом 1/32, 25 марта – станция метро «Гостиный двор», 27 марта – здание администрации Фрунзенского района (Пражская улица, 46), 28 марта – метро «Электросила».
Согласно данным Роспотребнадзора, эпидемиологическая ситуация по туберкулезу в Санкт-Петербурге остается стабильной, с тенденцией к снижению заболеваемости. В 2024 году было зарегистрировано менее тысячи новых случаев активного туберкулеза, что составляет 16,2 случая на 100 тысяч населения. Это на 8,9% меньше, чем в прошлом году, и на 36,5% ниже среднероссийского показателя.
Регулярные обследования способствуют раннему выявлению туберкулеза, что значительно увеличивает эффективность лечения.
Ранее жители Петербурга имели задолженности перед микрокредитными организациями почти на сумму 16 млрд рублей. Также в зданиях котельной и машинного зала ТЭЦ планируется создать концертный зал и спорткомплекс.
Автор: Дмитрий Иванов




Новые комментарии